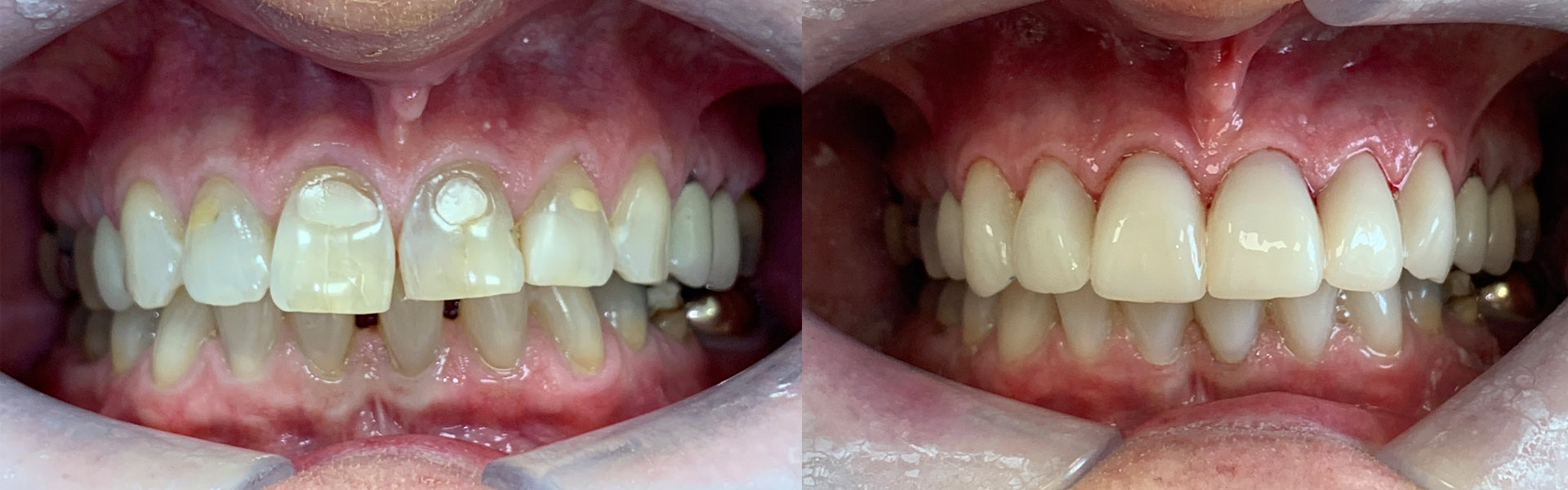
Composite bonding is a cosmetic technique to enhance the appearance of teeth. we use only high quality materials with a long track record. It is a very gentle way of modifying teeth shape and colour to achieve very aesthetic results quickly, most of the time injections are not even needed. This method allows the smile to be transformed or a single tooth.

We use bonding material that is moulded and sculpted, using the latest instruments and techniques, to achieve outstanding natural looking results. Bonding can be used to restore decayed teeth, close spaces between teeth, repair chips, correct discoloration, straighten misaligned teeth and replace unsightly silver amalgam fillings.Unlike porcelain veneer placement, which can take two or more visits, composite resin bonding can be completed in one appointment.